Placeholder Image Seleccione su País     

Placeholder Image +34603209383  

Placeholder Image +541130352867  

Placeholder Image +5217773046065  

Placeholder Image +541130352867  

Placeholder Image +573125178767  

Placeholder Image +595972600573

Láseres para tejido blando

Láser de Nivel 1

Láseres para tejido blando

¿Por qué usar láser?
El láser es la herramienta numero 1 de la Odontología moderna.

Las terapias láser son utilizadas en todas las especialidades de la odontología, convirtiendo al láser en una herramienta con un rápido recupero de inversión y de uso diario. Con el Láser Sol usted podrá realizar todos las cirugías de tejidos blandos sin sangrado, sin suturas, sin anestesia y sin medicación post operatoria. También podrá utilizar el láser para las especialidades de periodoncia y endodoncia por su gran poder bactericida.

Sin Sangrado

Sin Suturas

Sin Anestesia

Odontología General

Comparado con el electrobisturí el Láser es más biológico y menos invasivo. Un electrobisturí destruye entre 300 y 500 capas celulares mientras que un láser solo elimina de 3 a 5 capas. Por esta misma razón es que podemos realizar gingivectomías, hiperplasias y frenectomías de una manera más biológica, mínimamente invasiva, sin recesión gingival y con un gran confort para el paciente.

Toma de impresiones

¡Digale adios al cordón retractor! Al usar nuestro Láser de Diodo, los odontólogos pueden obtener una impresión de alta calidad con márgenes limpios en cuestión de segundos, eliminando la necesidad de un cordón de retracción gingival. El láser mejora la visualización de los márgenes de la corona y ayuda en la hemostasis para que las coronas y los puentes dentales asienten correctamente.

Restauraciones de Clase V

El Láser de Diodo le permite al profesional tener acceso libre y limpio en la restauración de los defectos de la clase V. La técnica utiliza un procedimiento no quirúrgico para la eliminación de tejido enfermo en el epitelio de los márgenes gingivales, mientras proporciona un excelente control de hemorragias.

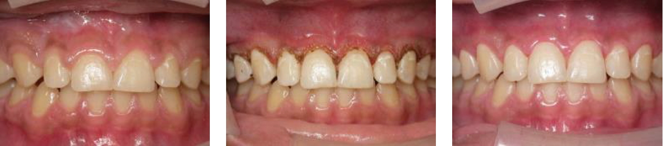
Remodelación Gingival

Remueva fácilmente el exceso de tejido gingival con el Láser de Diodo. Problemas gingivales estéticos como el exceso de tejido gingival o contornos asimétricos pueden ser corregidos fácilmente sin recesión gingival, sin dolor y sin suturas.

Frenectomía

Una frenectomía previene la necesidad de un futuro injerto al detener la migración del tejido gingival, mejorando el acceso a la higiene bucal, así como también corregir los impedimentos en el habla.

Gingivectomía

Remueva el tejido hiperplásico de manera fácil y efectiva sin la necesidad de suturas o el uso de bisturí. Primeras impresiones para las restauraciones pueden ser realizadas en la misma cita, otorgando resultados previsibles sin la disconformidad del paciente.

Hiperplasia

Remueva de manera precisa y efectiva las pseudo bolsas gingivales y realice los contornos para mejorar la estética y la limpieza bucal, sin anestesia, molestias o sangrado usando el Láser de Diodo. Este procedimiento ahorra tiempo y dinero sin la necesidad de referir a un cirujano.

Recuperación de Implantes

El Láser de Diodo permite una extracción rápida, fácil y segura del exceso de tejido gingival alrededor del implante, que de otra forma interferiría con el asentamiento correcto del implante/contención, haciéndolo más estable. A diferencia de otros métodos, no hay riesgo de transferir calor al implante lo que podría causar su rotura con el paso del tiempo.

Úlceras Aftosas

El Láser de Diodo utilizado para remover lesiones posee muchas más ventajas por sobre el bisturí. Un láser de diodo tendrá como resultado una correcta hemostasia además de una zona limpia, permitiendo la rápida cicatrización mientras se reduce el riesgo de infecciones.

Aplicaciones en la Higiene Periodontal

Odontólogos pueden incorporar el láser de Diodo en tejido blando en combinación con el raspado y limadura de raíces en las bolsas periodontales. El Láser de Diodo es absorbido por la melanina, hemoglobina y demás cromóforos presentes en las bacterias de la enfermedad periodontal. Esto permite realizar un procedimiento no quirúrgico para ganar acceso a los depósitos de cálculos dentales luego de la ablación del epitelio enfermo y poder controlar posibles hemorragias. La terapia periodontal asistida por láser puede ser utilizada como adicional a los tradicionales procesos de raspado y limadura de raíces. La energía del láser selecciona solamente el tejido oscuro y necrótico mientras aparta el tejido sano, permitiendo mejores resultados. 

Limpieza Láser

Antes de cualquier rutina de limpieza se recomienda usar el láser para eliminar las bacterias de las bolsas periodontales. Al usar las técnicas de reducción bacteriana con láser, usted puede evitar la contaminación cruzada en la boca y mejorar la re adherencia del tejido gingival.

Terapia Periodontal Láser

El láser de Diodo puede ser usado para seleccionar cuidadosamente el tejido enfermo sin dañar el tejido sano, permitiendo al mismo regenerarse. En algunos casos las bolsas periodontales pueden ser reducidas desde <6 mm a bolsas de 2-3 mm de profundidad.

Desensibilización

El láser es una herramientas fundamental para aliviar la sintomatología que genera la sensibilidad dentinaria. El láser permite reducir la presión hídrica de los tubulículos dentinarios para reducir la sensibilidad dentarial hasta 1 año.

Especialidades Quirúrgicas

A diferencia del electrobisturí, el láser de Diodo no tiene ningún tipo de contraindicacion. Los mismos son seguros de utilizar cerca de brackets metálicos, implantes, embarazadas, pacientes anticoagulados y pacientes con marca pasos. Algunos ejemplos incluyen a las coronas pequeñas que no permiten el correcto asentamiento de los brackets, retrasando la salida de las piezas dentales y desnivelando los márgenes gingivales.  Estas técnicas permiten obtener un campo limpio, seco, sin la necesidad de utilizar anestesia local y provocando menores dolores al paciente.

Exposición de piezas retenidas en mucosa

El Láser de Diodo puede remover tejido fácilmente y proveer acceso instantáneo para la colocación de brackets sin la necesidad de anestesia local. Este procedimiento es rápido y no causa dolor, teniendo como resultado una zona limpia y lista para la colocación inmediata de brackets o botones, eliminando la necesidad de esperar meses para su crecimiento natural.

Operculectomía

El Láser de Diodo permite fácilmente la extracción de tejido blando que rodea a los molares posteriores. La aparición repetida de pericoronaritis crónica, sonda periodontal en la profundidad del surco gingival o las pseudo bolsas pueden ser fácilmente controladas mediante este procedimiento.

Láser SOL

El Láser SOL ofrece verdadera portabilidad, potencia y precisión. Cuenta con una ergonomía mejorada, una interfaz sencilla y un rayo de puntería de alto contraste diseñado para que la odontología láser sea más fácil que nunca. EL Láser SOL es ideal para mejorar el rendimiento del equipo.

• Tres modos preestablecidos y uno para configurar a gusto.

• Trabaje cómodamente durante 3 horas desde la última carga.

• Diferentes tamaños de punta para los distintos procedimientos.

• Potencia máxima de 3 watt en modo continuo y 5 watt en modo pulsado, con potencia de sobra para cualquier tipo de tejido.

Especificaciones:

  • Peso: 1.15kg.

  • Clasificación Láser: Dispositivo de Clase IV. 

  • Sistema de aplicación: Fibra óptica.

  • Longitud de onda: Láser 808 nm ± 5 nm.

  • Potencia máxima: 3 watts ± 20%.

  • Notificación audible: Sí.

  • 3 horas de disparo continuo @ 1.2 watts.

  • 1 años de garantía.

Equipado con:

  • Láser SOL.

  • Fuente de alimentación.

  • Pedal inalámbrico.

  • 3 Baterías AA para el pedal.

  • Cubiertas de láser de diodo de un solo uso para la pieza de mano (25)

  • Puntas desechables de 4mm (5 unidades).

  • 3 gafas protectoras.

  • Filmina autoadhesiva.

  • Manual de usuario.

  • Curso de capacitación online GRATIS.

Microláser NV PRO3

El Microláser NV es el más transportable del mercado, permitiendo al profesional transportarlo en el bolsillo de su chaquetilla como un bolígrafo.

• Programas preestablecidos para realizar hasta 12 procedimientos periodontales, restauradores y de ortodoncia.

• Soporta hasta 30 minutos de operación continua con una potencia de 1.2 watts, suficiente para más de 15 procedimientos antes de tener que recargar la batería.

• Potencia de 2 watts en sistema de disparo continuo o pulsado.

Especificaciones:

  • Peso: 53 gramos • Clasificación láser: dispositivo de Clase IV

  • Sistema de aplicación: fibra óptica

  • Longitud de onda: láser 808 nm ± 5 nm

  • Potencia máxima: 2 watts ± 20% 

  • Notificación audible: sí

  • 30 minutos de disparo continuo @ 1.2 watts: 8 horas en reposo

  • 1 año de garantía

Equipado con:

  • Una unidad de Microláser NV PRO3

  • 2 baterías de Ión-Litio

  • Pedal inalámbrico

  • 2 Baterías AA para el pedal 

  • Cargador

  • Fuente de alimentación 

  • Puntas desechables: 5 unidades de 5mm; 5 unidades de 7mm

  • 3 gafas protectoras

  • Filmina autoadhesiva

  • Manual de usuario • Curso de capacitación online GRATIS

Accesorios

Denmat utiliza componentes y fibras de alta calidad en todos sus láseres y accesorios. Todos los accesorios están diseñados para que usted utilice su láser efectiva y cuidadosamente

Gafas de seguridad para láser

LR1008

Cómodas, modernas y resistentes gafas de policarbonato. (OD>10 at 808nm).

Lupa láser PeriVista PeriOptix®

(F-P-A-SY)

Vista panorámica con la lupa láser Clip-on diseñada para ser anexada al marco PeriVista.

Armadura láser Air-X PeriOptix®

(F-U-A-SG & F-U-A-SP)

Armadura láser removible con almohadilla ajustable para la nariz con posibilidad de ser usado arriba de otros lentes.

Accesorios

Denmat utiliza componentes y fibras de alta caliddad en todos sus láseres y accesorios. Todos los accesorios están diseñados para que usted utilice su láser efectiva y cuidadosamente

Gafas de seguridad para láser

LR1008

Cómodas, modernas y resistentes gafas de policarbonato. (OD>10 at 808nm)

Lupa láser PeriVista PeriOptix®

(F-P-A-SY)

Vista panorámica con la lupa láser Clip-on diseñada para ser anexada al marco PeriVIsta.

Armadura láser Air-X PeriOptix®

(F-U-A-SG & F-U-A-SP)

Armadura láser removible con almohadilla ajustable para la nariz con posibilidad de ser usado arriba de otros lentes.

Puntas desechables de 5 mm para láser de Diodo NV PRO3

Estándar — 5 mm
(ZLR1012A) 25 pk.

Puntas magnéticas de un solo uso, desechables y pre configuradas. Imanes colocados precisamente para alinear y asegurar el hilo de la fibra en cada oportunidad.

Puntas desechables de 7 mm para láser de Diodo NV PRO3

Periodontal — 7 mm
(ZLR1013A) 25 pk.

Mayor longitud de la punta de fibra es adecuado para realizar tratamientos periodontales con láser.

Batería Ión-Litio para el láser de Diodo NV PRO3

(ZLR3010)

Cada batería recargable provee hasta 30 minutos de funcionamiento continuo en 1.2 de potencia—suficiente para un promedio de 15 procedimientos en disparo continuo. El tiempo en modo reposo es de 8 horas!

Puntas desechables de 4 mm para láser de Diodo SOL

Estándar — 4 mm, 400 um
(033980028-0) 25 pk.

Puntas magnéticas de un solo uso, desechables y pre configuradas.

Puntas desechables de 9 mm para láser de Diodo SOL

Periodontal— 9 mm, 300 um
(LR1010) 25 pk.

Mayor longitud de la punta de fibra es adecuado para realizar tratamientos periodontales con láser.

Filmina autoadhesiva

(ZLR1020)

Papeles con articulación como AccuFilm II son una de las mejores soluciones para desencadenar la absorción de hemoglobina hacia la punta de la fibra óptica.